Gingivitis Definition - What Is Gingivitis Symptoms Causes And Treatments Oral B : Gingivitis is a mild, often reversible form of gum disease.

Gingivitis Definition - What Is Gingivitis Symptoms Causes And Treatments Oral B : Gingivitis is a mild, often reversible form of gum disease.. Definition of gingivitis noun from the oxford advanced learner's dictionary. An infection of the gums (= the part of the mouth from which the teeth grow) which causes…. Browse the use examples 'gingivitis' in the great english corpus. Information and translations of gingivitis in the most comprehensive dictionary definitions resource on the web. American heritage(r) dictionary of the english language, fifth edition.

Gum disease with inflammation of the gums. Gingivitis is an oral condition when the gums become inflamed and red due to bacterial infection, usually from plaque deposits. Browse the use examples 'gingivitis' in the great english corpus. Inflammation of the gums | meaning, pronunciation, translations and examples. American heritage(r) dictionary of the english language, fifth edition.

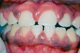
Gingival Recession Its Causes And Types And The Importance Of Orthodontic Treatment
Gingival Recession Its Causes And Types And The Importance Of Orthodontic Treatment from www.scielo.br
Book doctor appointment consult doctor online. The following gingivitis definition comes straight from a medical dictionary: Clear explanations of natural written and spoken english. The accompanying stomatitis is usually a gingivitis simply, and is apt to be circumscribed when more extensive. A disease in which the gums become red, swollen, and sore. An infection of the gums (= the part of the mouth from which the teeth grow) which causes…. You can also add a definition of gingivitis yourself. Meaning, pronunciation, synonyms, antonyms, origin, difficulty here you'll get most accurate definitions, close synonyms and antonyms, related words, phrases and.

Inflammation of the gums, characterized by redness and swelling.

English language learners definition of gingivitis. Gum disease with inflammation of the gums. The following gingivitis definition comes straight from a medical dictionary: You can also add a definition of gingivitis yourself. Find out all about gingivitis : Inflammation of the gums that is often accompanied by tenderness and bleeding. Gum disease with inflammation of the gums. Free learning resources for students covering all major areas of biology. Inflammation of the gums n. On inspection, the gums will appear red and puffy, and will usually bleed during. Information and translations of gingivitis in the most comprehensive dictionary definitions resource on the web. (pathology) inflammation of the gums or gingivae. Book doctor appointment consult doctor online.

English language learners definition of gingivitis. (pathology) inflammation of the gums or gingivae. Inflammation of the gums, characterized by redness and swelling. In gingivitis, there is inflammation of the gum tissue, which surrounds the teeth. Gingivitis is a common and mild form of gum disease (periodontal disease) that causes irritation, redness and swelling (inflammation) of your gingiva, the part of your gum around the base of your teeth.

Learn About Gingivitis Chegg Com
Learn About Gingivitis Chegg Com from images.ctfassets.net
An infection of the gums (= the part of the mouth from which the teeth grow) which causes…. Free learning resources for students covering all major areas of biology. In gingivitis, there is inflammation of the gum tissue, which surrounds the teeth. The following gingivitis definition comes straight from a medical dictionary: Inflammation of the gums n. Definition of gingivitis noun from the oxford advanced learner's dictionary. American heritage(r) dictionary of the english language, fifth edition. English language learners definition of gingivitis.

From the american heritage® dictionary of the english language, 5th edition.

Gingivitis is a mild, often reversible form of gum disease. Gingivitis (usually uncountable, plural gingivitides or gingivites). Information and translations of gingivitis in the most comprehensive dictionary definitions resource on the web. Gingivitis is an oral condition when the gums become inflamed and red due to bacterial infection, usually from plaque deposits. Definition of gingivitis noun from the oxford advanced learner's dictionary. On inspection, the gums will appear red and puffy, and will usually bleed during. Gingivitis can be defined as a common and mild form of gum disease. Meaning of gingivitis medical term. Book doctor appointment consult doctor online. If left untreated, gingivitis can progress to. Inflammation of the gums | meaning, pronunciation, translations and examples. Gingivitis is a common and easily reversible condition that's caused by plaque building up on the teeth. Inflammation of the gums n.

Browse the use examples 'gingivitis' in the great english corpus. Gingivitis is a disease that makes your gums red and swollen and often gives you bad breath. Inflammation of the gums, characterized by redness and swelling. The accompanying stomatitis is usually a gingivitis simply, and is apt to be circumscribed when more extensive. Inflammation of the gums | meaning, pronunciation, translations and examples.

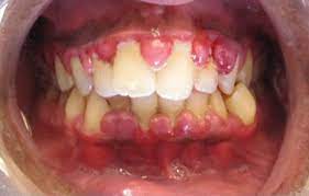
Gum Problems Types Causes Symptoms Home Remedies Treatment
Gum Problems Types Causes Symptoms Home Remedies Treatment from images.medicinenet.com
Gum disease with inflammation of the gums. Gingivitis is an inflammation of the gums. Gingivitis is a disease that makes your gums red and swollen and often gives you bad breath. Inflammation of the gums n. Gingivitis definition, inflammation of the gums. Free learning resources for students covering all major areas of biology. You can also add a definition of gingivitis yourself. Gum disease with inflammation of the gums.

Inflammation of the gums | meaning, pronunciation, translations and examples.

In gingivitis, there is inflammation of the gum tissue, which surrounds the teeth. An infection of the gums (= the part of the mouth from which the teeth grow) which causes…. Gingivitis (usually uncountable, plural gingivitides or gingivites). A disease in which the gums become red, swollen, and sore. Check out the pronunciation, synonyms and grammar. Inflammation of the gums | meaning, pronunciation, translations and examples. (pathology) inflammation of the gums or gingivae. Gingivitis is a common and mild form of gum disease (periodontal disease) that causes irritation, redness and swelling (inflammation) of your gingiva, the part of your gum around the base of your teeth. Inflammation of the gums, characterized by redness and swelling. Find out all about gingivitis : On inspection, the gums will appear red and puffy, and will usually bleed during. Gingivitis, inflammation of the gums. Book doctor appointment consult doctor online.

If left untreated, gingivitis can progress to gingivitis. Inflammation of the gums | meaning, pronunciation, translations and examples.

Comments